Teeth Whitening
Have you always dreamed of having a hollywood white smile?
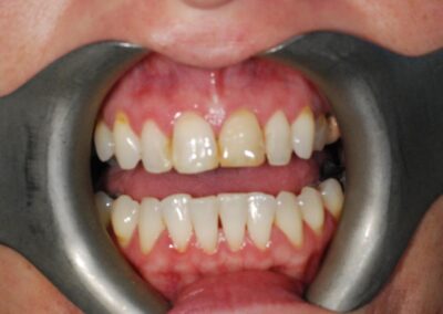
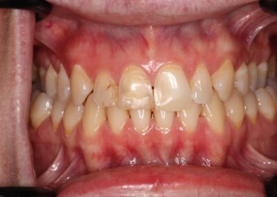
Unfortunately, various foods and drinks such as red wine, tea, coffee, cola and many more can discolour the look of your teeth. Smoking can also make teeth look yellow. Even antibiotics can discolour your teeth, not to mention the natural ageing process. All of which can leave you feeling self-conscious about the appearance of your teeth, particularly in photographs.
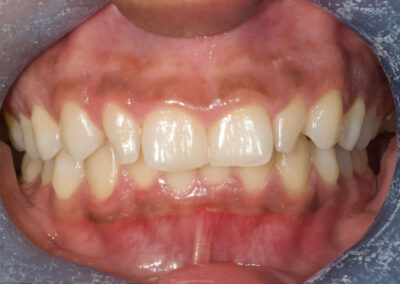
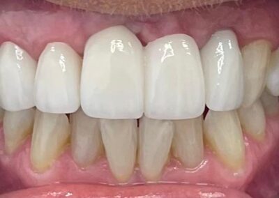
Teeth whitening is a popular treatment to revive the look of your natural teeth. It is one of the best ways to get a brighter smile.
Teeth
Whitening
FROM
£350
Book Online
Click Here
Call us
0161 437 2382
Teeth Whitening Dentist in Wythenshawe, Manchester
What Does Teeth Whitening Involve?
Our at-home teeth whitening treatment allows you to get whiter teeth in a way that is safe and convenient.
The process begins with a thorough consultation where we will check the suitability of your teeth for teeth whitening treatment. Please note that teeth whitening is not suitable for dental restorations such as porcelain veneers and crowns.
Once we’ve given your teeth the go-ahead we will take impressions of your teeth. The impressions will allow us to create trays that will perfectly fit your teeth. The trays work by the use of whitening gel which is inserted into the trays to lighten your teeth.
We will explain how to apply the teeth whitening gel into the trays, including how often the trays need to be worn.
FAQs
What is teeth whitening?
What Are The Benefits Of Teeth Whitening?
Our smile is how we communicate with others particularly when talking or having our photograph taken. It is an area of our appearance that cannot be covered up if we aren’t happy with it, leading people to feel self conscious or embarrassed about the colour of their teeth.
However, teeth whitening is one of the simplest ways to achieve a beautiful smile you will be proud to show off. Teeth whitening doesn’t involve lengthy dental work or even downtime. The treatment will be carried out at home meaning you can fit it around any existing commitments. Therefore, it is straightforward to achieve noticeable and satisfying results.
Teeth whitening is suitable for a wide range of people who are looking to enhance the look of their smile. It is also going to give much more prominent results versus using tooth whitening toothpaste or mouthwash alone, which does not contain the chemicals needed to physically lift the stains off the teeth.
As well as helping to improve confidence and body language, younger looking teeth can help revive your appearance as a whole.
What are the side effects of teeth whitening?
Switching to a sensitive toothpaste before having teeth whitening can help minimise any symptoms. We would be more than happy to advise you if you have any concerns about side effects due to teeth whitening.
Can anyone do teeth whitening
Also, at home whitening kits that aren’t dentist approved may not give you the results you desire. This is because they don’t contain chemicals that are capable of lifting stains from the surface of the tooth. Likewise, some treatments which haven’t been formulated by a dentist can be too harsh for the teeth or gums.
Therefore, please only seek teeth whitening through your dentist to ensure your oral health is not compromised, and so that you get professional results.
Is teeth whitening safe?
Make sure you only get teeth whitening through a dentist that is registered with the General Dental Council (GDC) such as ourselves . That way, the professional will ensure your safety is at the forefront of the treatment.
Unfortunately, this same level of high care can not be guaranteed within a beauty salon or similar environment where a registered dental professional isn’t administering the treatment.
How long does teeth whitening last for?
Some patients top up their teeth whitening once or twice a year. In particular, you may wish to top the results up before a special occasion.
To prolong your teeth whitening results, we recommend cutting down on consuming staining products in addition to using a whitening toothpaste. By also booking in with us for a regular dental checkup, you can ensure your teeth will continue to look their best.
Is teeth whitening available on the NHS?
Book
a Consultation
Book Online
Click Here
Call us
0161 437 2382
Click to send an email
